

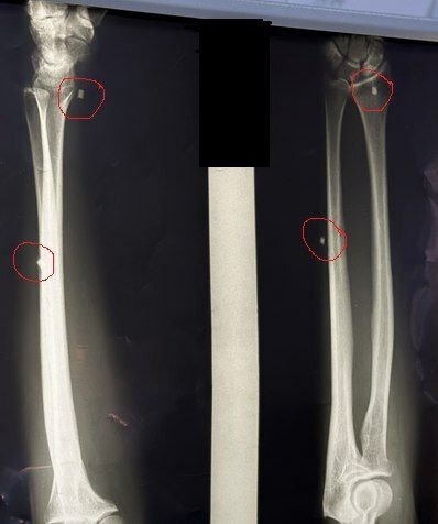
В городской больнице Салавата провели уникальную операцию участнику специальной военной операции из Кугарчинского района.
Как сообщили в минздраве республики, боец получил ранение во время подрыва в зоне СВО.


Операцию провёл нейрохирург Арслан Асылбаев. В настоящее время боец проходит реабилитацию, подвижность руки восстанавливается, уточнили в ведомстве.


Ранее «Башинформ» сообщил, что в Уфе врачи обсудят лечение раненых участников СВО.
© 1992-2026 АО ИА «Башинформ».
Сетевое издание «Информационное агентство «Башинформ» зарегистрировано в Федеральной службе по надзору в сфере связи, информационных технологий и массовых коммуникаций (Роскомнадзор), регистрационный номер Эл № ФС77-88040
Учредитель Акционерное общество "Информационное агентство "Башинформ"
Главный редактор Шарафутдинов Руслан Михайлович
При перепечатке или цитировании ссылка на ИА «Башинформ» обязательна. Для интернет-изданий и социальных сетей прямая активная гиперссылка обязательна. Использование логотипа ИА «Башинформ» в целях, не связанных с ссылкой на агентство при перепечатке или цитировании, допускается только с письменного разрешения АО ИА «Башинформ».
Вся информация и материалы, размещенные на сайте www.bashinform.ru защищены международным и российским законодательством об авторском праве и смежных правах. 18+ запрещено для детей.