

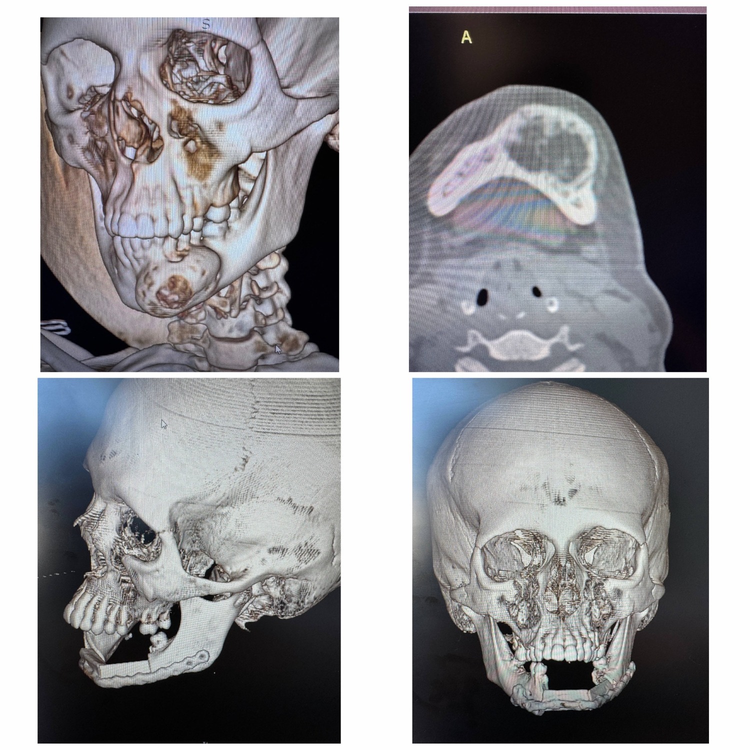
В уфимской больнице №21 челюстно-лицевые хирурги провели уникальную операцию. Пациентке с доброкачественной опухолью нижней челюсти удалили новообразование и сразу же пересадили часть собственной малоберцовой кости. Об этом сообщил премьер-министр республики Андрей Назаров.
По словам Назарова, еще недавно таких пациентов приходилось направлять в федеральные центры. Теперь сложнейшие операции делают в Уфе. Бригаду возглавила главный внештатный челюстно-лицевой хирург республики Гузель Файзуллина, участвовал научный сотрудник центра онкологии и медицинской радиологии имени Александрова в Белоруссии Александр Воробьёв.
«Челюсть собирали по 3D-шаблонам буквально как конструктор. Операция прошла успешно, пациентка под наблюдением и готовится к выписке. А главное, она может снова нормально говорить, есть и улыбаться», — поделился Андрей Назаров.
Ранее впервые в Башкирии провели уникальную операцию на глаза.


© 1992-2026 АО ИА «Башинформ».
Сетевое издание «Информационное агентство «Башинформ» зарегистрировано в Федеральной службе по надзору в сфере связи, информационных технологий и массовых коммуникаций (Роскомнадзор), регистрационный номер Эл № ФС77-88040
Учредитель Акционерное общество "Информационное агентство "Башинформ"
Главный редактор Шарафутдинов Руслан Михайлович
При перепечатке или цитировании ссылка на ИА «Башинформ» обязательна. Для интернет-изданий и социальных сетей прямая активная гиперссылка обязательна. Использование логотипа ИА «Башинформ» в целях, не связанных с ссылкой на агентство при перепечатке или цитировании, допускается только с письменного разрешения АО ИА «Башинформ».
Вся информация и материалы, размещенные на сайте www.bashinform.ru защищены международным и российским законодательством об авторском праве и смежных правах. 18+ запрещено для детей.