Врачи не боги, но порой они творят чудеса, буквально вырывая пациентов из лап коварных болезней. Накануне Нового года «Башинформ» собрал Топ-10 уникальных историй, как башкирские доктора спасают жизни и совершают прорывы в медицине. Добрые истории – это то, что нужно всем нам в этот светлый праздник.
Первой не по хронологии, а по значимости для здравоохранения Башкирии смело можно назвать операцию по пересадке костного мозга. Её в Башкирии провели впервые в истории. Трансплантацию под чутким руководством коллег из НМИЦ детской гематологии, онкологии и иммунологии имени Дмитрия Рогачева выполнили специалисты нового Центра детской онкологии и гематологии при Республиканской детской клинической больнице в Уфе. Пациентка, 10-летняя девочка, сначала прошла курс химиотерапии, затем ей пересадили костный мозг. Операция прошла успешно.
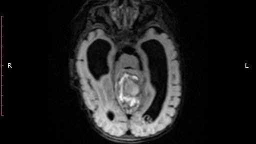
Ещё один важный прорыв башкирских хирургов – они смогли удалить злокачественную опухоль мозга двухмесячному малышу. Уникальную операцию провели в Республиканской детской клинической больнице. Ребенка экстренно доставили в Уфу санавиацией из Баймакского района. Состояние малыша ухудшалось на глазах. Маленького пациента беспокоили частые рвотные позывы, наблюдался непропорциональный рост головы. В больнице поставили неутешительный диагноз – опухоль мозга. Ребенку провели двухэтапную высокотехнологичную операцию: нейрохирурги удалили опухоль и убрали сопутствующий застой жидкости. Операционный материал отправили в ведущую детскую онкологическую клинику страны. Там подтвердили злокачественную природу опухоли. Поэтому дальше малыша лечили уже в Москве.


А эта операция уникальна применением робота-помощника. В Центре роботизированной хирургии клиники БГМУ хирурги протезировали коленный сустав. 60-летняя пациентка долгое время страдала от болей в коленях. И врачи ей предложили роботизированную операцию, чтобы вернуть возможность нормально ходить. Если раньше вырезали кость с использованием титана, то сейчас все делается с помощью лазера. Использование робота позволяет провести фрезерование с субмиллиметровой точностью, снижает риск кровопотери, ускоряет процесс реабилитации, уменьшает болевой синдром.
«В операционной хирург работает один, он не нуждается в бригаде ассистентов, все делает робот. С допуском в 0,1 мм можно сделать точный отпил, при этом мы не создаем гетерогенные последствия или вероятность последствий после вмешательства. Здесь удаляются ткани, рана остается чистой. Когда мы помещаем имплантат, он „встает“ прецизионно и с минимальным риском осложнений», — пояснил заведующий кафедрой травматологии и ортопедии БГМУ, доктор медицинских наук, профессор Булат Минасов.
В операционной республиканского кардиоцентра спасли мальчика от внезапной сердечной смерти. Ребенок в любой момент мог умереть из-за аномального строения организма. Пациента по имени Булат с детства беспокоили боли в сердце и одышка. После многочисленных обследований ребенку установили диагноз ВПС — аномальное отхождение правой коронарной артерии от легочной. При таком заболевании мальчик мог не дожить до своего совершеннолетия, так как уже начали происходить изменения в миокарде. Врачи приняли решение оперировать. Руководил операцией кардиохирург Артур Шарафутдинов. За 3,5 часа специалисты пересадили правую коронарную артерию на ее «правильное» место. Такие операции башкирские врачи начали выполнять относительно недавно.
«Сложность операции заключалась в технике ее проведения. Важно было правильно переместить жизненно важный сосуд достаточно свободно, чтобы не было натяжения. При этом не должно быть лишних перегибов. До 2020 года такие хирургические вмешательства в нашем кардиоцентре не проводились, пациентов направляли в Томск», — рассказал министр здравоохранения республики Айрат Рахматуллин.
Сегодня жизни Булата ничего не угрожает. Он поступил в колледж, осваивает рабочие специальности. Чувствует себя хорошо и наблюдается в своей поликлинике.


Чудеса хирурги творят не только в столичных больницах, но и по всей республике. В Стерлитамаке онкологи провели резекцию молочной железы пациентке с двумя злокачественными образованиями, при этом сохранив грудь женщине. Две раковые опухоли в одной молочной железе — достаточно редкое явление. Послеоперационная гистология показала, что в спасенной молочной железе не осталось злокачественных клеток. Сейчас горожанка чувствует себя хорошо, прошла гормональную и лучевую терапию и смогла вернуться к прежнему образу жизни.
Еще одно достижение из периферии. В Сибае хирурги городской больницы успешно провели сложнейшую операцию мужчине с ножевым ранением в шею. У пациента была повреждена сонная артерия. В таких случаях, как правило, пациента даже не успевают довезти до больницы, вероятность летального исхода слишком высокая. Но тут повезло дважды: скорая смогла передать раненого в руки коллег из больницы, а те, в свою очередь, ушили сосуд и восстановили кровоток. Счет шел на минуты, и этот бой врачи выиграли.


В городской больницы №21 в Уфе хирурги по кусочкам собрали ноги мужчине, вернув ему возможность ходить. Он получил сложные переломы обеих ног, упав с высоты в прошлом году, когда находился в другом регионе. Там же 44-летний пострадавший обратился к врачам. Но кости срастались со смещением. Тогда пациент решил обратиться к докторам в башкирской столице. В отделении травматологии и ортопедии ГКБ №21 ему выставили диагноз: закрытые срастающиеся со смещением отломков, многооскольчатые внутрисуставные переломы метаэпифизов большеберцовых костей обеих голеней. Операция длилась около шести часов. Врачи собирали конечности по кусочкам и смогли вернуть подвижность суставов. Прогнозы специалистов обнадеживающие: через некоторое время мужчина сможет ходить.
Одними из самых сложных, конечно, остаются операции на сердце. Поэтому в топ вошли сразу несколько историй из республиканского кардиоцентра. Врачи до 30 градусов охладили тело 60-летнего мужчины с артериальной гипертонией. Во время плановой госпитализации у пациента диагностировали расслаивающуюся аневризму дуги аорты — патологию, при которой нарушается строение сосуда. Его диаметр увеличивается, образуя «мешок», который в любой момент способен разорваться. Требовалась срочная операция. Охлаждение пациента было нужно, чтобы защитить органы от ишемии. Врачи ювелирно заменили часть аорты протезом, установили стент для коррекции просвета сосуда и одномоментно спротезировали крупные сосуды, кровоснабжающие голову. После операции мужчина четыре дня находился в реанимации. Благодаря командной работе хирургов, анестезиологов и современным технологиям, которые успешно применяются в кардиоцентре, удалось сохранить жизнь мужчине и вернуть его к привычной деятельности.
В клинике БГМУ впервые в Башкирии удалили раковые клетки, используя метод криоаблации. Врачи прооперировали трех пациентов. Криоаблация — это малоинвазивная методика, которая позволяет уничтожать злокачественное новообразование без негативного воздействия на окружающие органы и ткани. Доступ к опухоли врачи получают лапароскопическим путем, делая небольшие проколы. Гибель раковых клеток происходит из-за чередования заморозки и нагревания. Операции прошли под руководством заведующего отделением рентгенхирургических методов диагностики и лечения ФГБК НМИЦ онкологии им. Н. Н. Петрова Минздрава России (Санкт-Петербург) Павла Балахнина.


Подборку чудесных медицинских историй завершаем историей спасения новорожденной «дюймовочки» хирургами республиканского кардиоцентра. Малышка Амелия появилась на свет раньше срока, весом всего 1,5 килограмма. Врачи поставили ей диагноз – врожденная полная поперечная блокада сердца. Оно билось с частотой 50 ударов в минуту при норме в 170. Ребенок нуждался в установке электрокардиостимулятора. Прооперировать девочку смогли только поле того, как она набрала вес до 3 килограммов. Бригада хирургов работала около часа. Врачам нужно было найти на маленьком сердечке бессосудистую зону, куда можно было бы поместить безопасно электроды и батарею кардиостимулятора так, чтобы не возник пролежень из-за тонкого кожного покрова ребенка. Благодаря профессионализму медиков ребенку был имплантирован электрокардиостимулятор и навязан ритм в 145 ударов в минуту.


© 1992-2026 АО ИА «Башинформ».
Сетевое издание «Информационное агентство «Башинформ» зарегистрировано в Федеральной службе по надзору в сфере связи, информационных технологий и массовых коммуникаций (Роскомнадзор), регистрационный номер Эл № ФС77-88040
Учредитель Акционерное общество "Информационное агентство "Башинформ"
Главный редактор Шарафутдинов Руслан Михайлович
При перепечатке или цитировании ссылка на ИА «Башинформ» обязательна. Для интернет-изданий и социальных сетей прямая активная гиперссылка обязательна. Использование логотипа ИА «Башинформ» в целях, не связанных с ссылкой на агентство при перепечатке или цитировании, допускается только с письменного разрешения АО ИА «Башинформ».
Вся информация и материалы, размещенные на сайте www.bashinform.ru защищены международным и российским законодательством об авторском праве и смежных правах. 18+ запрещено для детей.